rf tube co2 fractional laser/fractional rf scarlet/fractional rf microneedle

Theory of Therapy
Micro-needling makes the columns for healing in the skin and induces the growth factor in order to derive the mechanism of the natural recovery. Its effectiveness is similar to peeling, but its damage on epidermis is minimized. Thus, the treatment is safe as non-ablative treatment with minimal pain.
Direct RF emission on the target tissue by Fractional RF thermolysis (Thermal damage by sengmented RF Emission) Selectively degenerate the collagen fiber from superficial dermis to muscle band. Instantly make the collagen fiber shrinking, and regenerate new collagen by the stimulus of fibroblast.
Effective delivery of valid ingredients through the expansion of intercellular route.
Specifications
Newest Technology Fractional rf microneedle
Professional technical and service team
Painless, no side effects
Feature
1, Comparison on Fractional laser and Fractional RF

2,Bipolar and Monopolar

3,ERS(Energy Reward System) and impedance checking

4,Microneedle tip and SRR tip for combination treatment

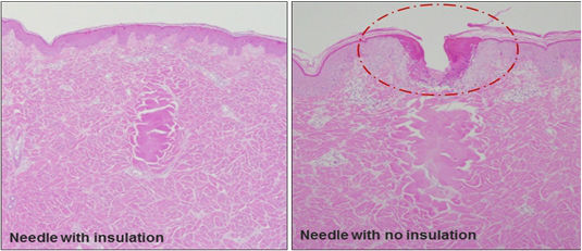
5,Advantage of insulated needle

Treatment
Treatment mechanism of Fractional RF
Fractional RF’s microneedle is insulated except 0.3mm of the end of the needle where the RF comes out.
Fractional RFis different from the laser because electro energy transforms into thermal energy.
The RF energy from the end of needle transfers energy from its point circle to nearby areas that causes coagulation and denaturalization. During the insertion of Fractional RFneedles to skin, epidermis will get micro holes but will not get a thermal damage while RF energy is emitted. Thus, it could minimize the side effects of pigmentation and others.
Treatment scope:
Wrinkle removal
Facial wrinkle removal
Skin tightening
Skin Resurfacing
Skin rejuvenation
Fine and Coarse wrinkles
Stretch marks removal
Non-Surgical Face lifting
Acne Scars removal
To improve saggy skin, wrinkles, acne scars, large pores and stretch marks.
Before-after-pictures:



Three Layer Therapy
Targeting three different target tissue with one single device is attracting both user and patient

Combination Treatment with Co2 Fractional
Once RF energy is penetrated into the dermis, column of target tissue in dermis processes to regenerate the skin. After the RF microneedle treatment, CO2 fractional laser is irradiating on epidermal area. Since light energy turns into thermal energy on a skin surface as shown in the picture, the thermal energy spreads and expands its area from the irradiation spot to its circle surroundings. Then, combination treatment of RF microneedle and CO2 fractional is flattening the rough skin.
Technical Parameters
| Control System | Microcomputer |
| Operation Interface | 8.4" Colorized Touch Screen |
| Power Voltage | 110/220V; 50/60Hz |
| Needle Depth | 0.5mm, 1mm, 1.5mm |
| Treatment Area | 62mm² |
| Electrode No. | 36 Pins |
| Work Program | CW / Pulse |
| RF | 2MHz & 50W |
Our factory pictures:

Contact
laney
Beijing Nubway S & T Development Co., Ltd
Add: West zone Building No.5 Mauhwa Industry Park,No.1 Caida 3rd Street Shunyi District Beijing, China
Email: laney@nubwaygroup.com
Skype: Nubway Chen
Facebook: Nubway Chen
Mobile/Whatsapp: 0086-15832562113
Website: www.nubway.net